Partagez

Ne ratez plus aucune info, likez la page Facebook quoidenews !

Cette petite fille n’avait jamais faim, voici ce que les médecins ont découvert dans son estomac (photos)

Insolite 3 / 28 mai 2015 à 15:36 par

Des médecins, qui s’intéressaient au cas d’une enfant de 5 ans devenue incapable de manger, ont fait une découverte inquiétante dans son estomac.

Traitée dans un hôpital d’Adélaïde (Australie), la fillette se plaignait de douleurs abdominales et n’avait jamais faim. Les médecins Australiens ont découvert que l’enfant avait connu des épisodes de trichotillomanie, un trouble particulier qui pousse la personne qui en est atteinte à arracher et à manger ses propres cheveux et/ou poils.

Interrogée, la petite fille a également expliqué aux spécialistes qu’elle avait déjà trouvé des cheveux dans ses selles et qu’elle en avait vomi.

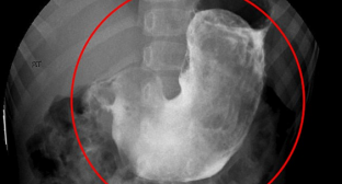
Après plusieurs examens, les docteurs ont fini par découvrir que la petite avait une importante masse dans l’abdomen. Il s’agissait d’une grosse boule de cheveux accumulés dans l’estomac. Des radiographies montrent l’importante masse coincée dans son ventre, mais également une lésion, rapporte TVA nouvelles.

L’enfant a finalement été diagnostiquée avec le syndrome de Rapunzel, une très rare condition médicale dans laquelle la boule de cheveux, appelée trichobezar, est coincée dans l’estomac et s’étire jusqu’au colon. Ce syndrome est extrêmement rare. Seulement 120 cas ont été rapportés dans la littérature médicale. La plupart du temps ce sont des femmes qui en sont atteintes.

Les médecins ont par ailleurs expliqué que les cheveux ne sont pas digérés par le système digestif, ainsi les cheveux s’accumulent et se mêlent à la nourriture qui est ingérée. Cette condition peut mener jusqu’à une pancréatite, une inflammation du pancréas, qui peut être mortelle.

Lors de l’opération, les médecins ont retiré près de 125 grammes de cheveux de l’estomac de la jeune fille. L’opération a duré près de deux heures.

La petite a ensuite été capable de manger à nouveau, mais surtout, elle a dû suivre une thérapie afin de soigner son problème de trichotillomanie.

Mots-clés : , ,

 3 Réaction(s)

  • BiBaBiBa

    Vous faites des titres à la démotivateur maintenant ? haha ! Bref dégueu la petite qui bouffe ses cheveux.

    • Toto75000

      On dirait bien que le Demotivateur a un nouveau concurrent !

  • Quent59150

    beurk c’est vraiment ignoble, pauvre petite fille

Quoidenews chez vous ?
Téléchargez gratuitement Quoidenews sur iPhone